Pie cavo, pie plano y pie valgo
El pie cavo es aquel que tiene una curvatura desde la punta hasta el talón; el pie plano es aquel que no tiene puente y el pie valgo tiene como principales características que el talón se encuentra hacia fuera y la punta hacia dentro. Estas afecciones pueden solventarse utilizando plantillas para pies, ya que existen plantillas para pie plano, valgo o cavo. Con la ayuda del podólogo encontrará las plantillas adecuadas.
Fascitis plantar
Este dolor se genera provocado por la inflamación de la fascia plantar, que es una estructura con nacimiento en el hueso calcáneo y que recorre toda la planta del pie. Esta afección es una patología muy molesta y su diagnóstico debe ser muy minucioso para evitar una mala evolución y descartar otras patologías asociadas. Asimismo, el tratamiento también ha de ser muy preciso, es por ello que en nuestras unidades se dispone de un protocolo para el tratamiento de la fascitis plantar y los dolores en el talón del pie.
Metatarsalgias
El dolor en la zona que se encuentra bajo los dedos del pie es muy frecuente y, en algunas ocasiones, sea atribuye a patologías banales, como durezas plantares. El síndrome de predislocación metatarsofalángica, la enfermedad Freiberg, las bursitis intermetatarsales o la neuritis, entre otras, son enfermedades que pueden provocar dolor y que requieren de un correcto diagnóstico y tratamiento. Este tratamiento puede llevarse a cabo con plantillas personalizadas o modernos procedimientos quirúrgicos.
Uña encarnada
La uña del pie encarnada puede derivar de muchos factores, como que las uñas no se corten de forma adecuada, los zapatos no se ajusten bien a la forma del pie, alguna deformidad en los dedos, el nacimiento de la uña encorvada, una mala pisada... Con un procedimiento sencillo, con anestesia local, te incorporaremos a la vida normal de forma inmediata, resolviendo el problema de la uña encarnada de forma definitiva.
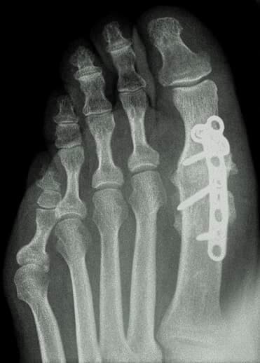
Juanetes
Esta afección tan común, mayoritariamente en las mujeres, es molesta a la hora de calzarse y de caminar, ya que causa dolor sobre la articulación, la cual empeora con la presión del calzado. Con los tratamientos quirúrgicos que ofrecemos, mediante la cirugía de mínima incisión, podemos resolver la patología del juanete, permitiendo al paciente caminar desde el primer momento, marchándose a casa sin dolor y con una recuperación mucho más rápida que mediante las técnicas tradicionales.





















